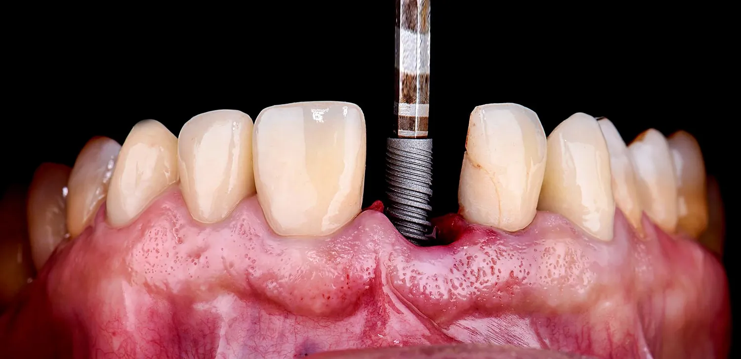
Implanty w jeden dzień to innowacyjna metoda, która zyskuje coraz większą popularność w Koszalinie. Dzięki postępowi technologicznemu oraz nowoczesnym rozwiązaniom medycznym, pacjenci mogą cieszyć się nowymi zębami już po jednej wizycie w gabinecie stomatologicznym. Proces ten rozpoczyna się od dokładnej diagnostyki, która obejmuje zdjęcia rentgenowskie oraz skany 3D jamy ustnej. Na podstawie tych danych lekarz podejmuje decyzję o odpowiednim planie leczenia. W dniu zabiegu pacjent otrzymuje znieczulenie miejscowe, a następnie chirurg wszczepia implanty w odpowiednie miejsca w szczęce lub żuchwie. Po zakończeniu tego etapu, na implanty zakłada się tymczasowe korony, co pozwala pacjentowi na normalne funkcjonowanie i estetyczny wygląd. Cały proces jest starannie zaplanowany, aby zminimalizować ryzyko powikłań oraz zapewnić maksymalny komfort pacjenta.
Jakie są korzyści z implantów w jeden dzień w Koszalinie
Decyzja o wszczepieniu implantów w jeden dzień niesie za sobą wiele korzyści dla pacjentów. Przede wszystkim, jest to znaczne skrócenie czasu oczekiwania na nowe zęby. Tradycyjne metody często wymagają wielu wizyt oraz długiego okresu gojenia, co może być uciążliwe dla osób prowadzących aktywne życie zawodowe lub osobiste. Implanty w jeden dzień pozwalają na natychmiastowe uzyskanie estetycznego uśmiechu, co ma ogromne znaczenie dla pewności siebie pacjentów. Kolejną zaletą jest możliwość uniknięcia noszenia protez tymczasowych, które mogą być niewygodne i nieestetyczne. Dodatkowo, nowoczesne technologie stosowane podczas zabiegu zwiększają jego bezpieczeństwo oraz skuteczność. Pacjenci mogą liczyć na indywidualne podejście oraz dostosowanie planu leczenia do ich potrzeb i oczekiwań.
Jak przygotować się do zabiegu implantów w jeden dzień w Koszalinie

Przygotowanie do zabiegu wszczepienia implantów w jeden dzień jest kluczowym elementem całego procesu i wymaga od pacjenta kilku kroków. Pierwszym z nich jest umówienie się na konsultację ze specjalistą stomatologiem, który oceni stan zdrowia jamy ustnej oraz zdecyduje o możliwości przeprowadzenia zabiegu. Ważne jest również wykonanie niezbędnych badań diagnostycznych, takich jak zdjęcia rentgenowskie czy tomografia komputerowa. Na podstawie tych wyników lekarz może zaplanować odpowiednią strategię leczenia oraz wybrać najlepsze miejsce do wszczepienia implantów. Pacjent powinien także zadbać o swoje zdrowie ogólne przed zabiegiem – unikać palenia tytoniu oraz ograniczyć spożycie alkoholu. Dobrze jest również przygotować się psychicznie na nadchodzący zabieg, poznając wszystkie etapy procedury oraz możliwe odczucia po jej zakończeniu.
Czy implanty w jeden dzień są bezpieczne w Koszalinie
Bezpieczeństwo zabiegów związanych z wszczepieniem implantów w jeden dzień to jedno z najważniejszych zagadnień, które nurtuje pacjentów rozważających tę formę leczenia stomatologicznego. W Koszalinie wiele gabinetów stomatologicznych stosuje nowoczesne technologie oraz materiały wysokiej jakości, co znacząco wpływa na bezpieczeństwo całej procedury. Lekarze stomatolodzy posiadają odpowiednie kwalifikacje oraz doświadczenie w przeprowadzaniu tego typu zabiegów, co minimalizuje ryzyko wystąpienia powikłań. Oczywiście każdy przypadek jest inny i przed przystąpieniem do zabiegu konieczna jest szczegółowa analiza stanu zdrowia pacjenta oraz jego historii medycznej. Warto również pamiętać o przestrzeganiu zaleceń lekarza zarówno przed, jak i po zabiegu – odpowiednia higiena jamy ustnej oraz regularne kontrole mogą znacząco wpłynąć na długotrwałe efekty leczenia.
Jakie są koszty implantów w jeden dzień w Koszalinie
Koszty związane z wszczepieniem implantów w jeden dzień w Koszalinie mogą się znacznie różnić w zależności od wielu czynników. Przede wszystkim, cena zabiegu zależy od rodzaju zastosowanych implantów oraz materiałów użytych do ich produkcji. Wysokiej jakości implanty wykonane z tytanu lub ceramiki mogą być droższe, ale oferują lepszą trwałość i estetykę. Kolejnym czynnikiem wpływającym na koszt jest doświadczenie i renoma lekarza stomatologa oraz standardy kliniki, w której przeprowadzany jest zabieg. Warto również zwrócić uwagę na dodatkowe usługi, takie jak diagnostyka obrazowa, znieczulenie czy tymczasowe korony, które mogą podnieść całkowity koszt leczenia. Pacjenci powinni także rozważyć możliwość skorzystania z planów ratalnych lub ubezpieczeń zdrowotnych, które mogą pomóc w pokryciu części wydatków. Warto porównać oferty różnych gabinetów stomatologicznych, aby znaleźć najlepsze rozwiązanie dostosowane do swoich potrzeb finansowych.
Jak długo trwa proces gojenia po implantach w jeden dzień w Koszalinie
Proces gojenia po wszczepieniu implantów w jeden dzień w Koszalinie jest kluczowym etapem, który ma istotny wpływ na ostateczny sukces zabiegu. Po wszczepieniu implantów pacjent może odczuwać pewien dyskomfort, który jest normalnym objawem po chirurgicznym zabiegu. Zazwyczaj lekarze zalecają stosowanie leków przeciwbólowych oraz zimnych okładów na obszar operowany, aby złagodzić ból i obrzęk. Gojenie tkanek miękkich wokół implantu trwa zazwyczaj od kilku dni do kilku tygodni. W tym czasie ważne jest przestrzeganie zaleceń lekarza dotyczących higieny jamy ustnej oraz diety – zaleca się unikanie twardych i gorących potraw. Pełne zintegrowanie implantu z kością, czyli proces osteointegracji, może trwać od trzech do sześciu miesięcy. W tym czasie lekarz regularnie kontroluje postęp gojenia i decyduje o dalszych krokach leczenia. Po zakończeniu tego etapu można przystąpić do zakupu stałych koron na implanty.
Jak dbać o implanty w jeden dzień po zabiegu w Koszalinie
Prawidłowa pielęgnacja implantów po zabiegu wszczepienia jest niezwykle istotna dla ich długowieczności oraz zdrowia jamy ustnej. Po zakończeniu zabiegu pacjenci powinni szczególnie zwrócić uwagę na higienę jamy ustnej. Zaleca się regularne szczotkowanie zębów co najmniej dwa razy dziennie oraz stosowanie nici dentystycznej lub irygatora do usuwania resztek pokarmowych z trudno dostępnych miejsc wokół implantu. Ważne jest także unikanie palenia tytoniu oraz nadmiernego spożycia alkoholu, ponieważ te czynniki mogą negatywnie wpływać na proces gojenia i integracji implantu z kością. Pacjenci powinni również unikać twardych pokarmów przez pierwsze kilka tygodni po zabiegu, aby nie obciążać nowo wszczepionych implantów. Regularne wizyty kontrolne u stomatologa są kluczowe dla monitorowania stanu zdrowia implantu oraz otaczających go tkanek.
Czy każdy może skorzystać z implantów w jeden dzień w Koszalinie
Nie każdy pacjent kwalifikuje się do zabiegu wszczepienia implantów w jeden dzień w Koszalinie, co wynika z różnych czynników zdrowotnych oraz anatomicznych. Przed przystąpieniem do zabiegu konieczna jest dokładna ocena stanu zdrowia jamy ustnej oraz ogólnego stanu zdrowia pacjenta przez lekarza stomatologa. Osoby cierpiące na choroby przyzębia, cukrzycę czy inne schorzenia przewlekłe mogą wymagać dodatkowych badań lub terapii przed podjęciem decyzji o wszczepieniu implantów. Również pacjenci, którzy mają niewystarczającą ilość kości do osadzenia implantu, mogą potrzebować wcześniejszego leczenia regeneracyjnego lub przeszczepu kości. W przypadku osób starszych lub tych przyjmujących leki immunosupresyjne konieczna jest szczególna ostrożność i indywidualne podejście do planowania leczenia.
Jak wybrać odpowiednią klinikę do implantów w jeden dzień w Koszalinie
Wybór odpowiedniej kliniki stomatologicznej do przeprowadzenia zabiegu wszczepienia implantów w jeden dzień w Koszalinie to kluczowy krok dla osiągnięcia satysfakcjonujących efektów leczenia. Przy wyborze kliniki warto zwrócić uwagę na kilka istotnych aspektów. Po pierwsze, warto sprawdzić kwalifikacje i doświadczenie lekarzy specjalizujących się w implantologii – im więcej lat praktyki mają specjaliści, tym większa szansa na powodzenie zabiegu. Kolejnym ważnym czynnikiem są opinie innych pacjentów – warto poszukać recenzji online lub poprosić znajomych o rekomendacje dotyczące konkretnych gabinetów stomatologicznych. Dobrze jest również zwrócić uwagę na wyposażenie kliniki – nowoczesny sprzęt medyczny oraz technologie diagnostyczne mogą znacząco wpłynąć na komfort i bezpieczeństwo przeprowadzanego zabiegu.
Jak wygląda proces rehabilitacji po wszczepieniu implantów w jeden dzień
Proces rehabilitacji po wszczepieniu implantów w jeden dzień to kluczowy element zapewniający długotrwałe efekty leczenia oraz komfort pacjenta. Po zakończeniu zabiegu pacjent otrzymuje szczegółowe instrukcje dotyczące pielęgnacji jamy ustnej oraz diety na najbliższe dni. Ważne jest przestrzeganie zaleceń lekarza dotyczących stosowania leków przeciwbólowych oraz środków przeciwzapalnych, aby złagodzić ewentualny dyskomfort związany z gojeniem się tkanek miękkich wokół implantu. W ciągu pierwszych kilku dni po zabiegu zaleca się unikanie intensywnego wysiłku fizycznego oraz stresujących sytuacji, które mogą wpłynąć na proces gojenia. Regularne wizyty kontrolne u stomatologa są niezbędne do monitorowania postępu rehabilitacji oraz oceny stanu zdrowia implantu i otaczających go tkanek.





